

[[img()]]
[
にほんブログ村 介護ブログ 認知症へ(文字をクリック)]
2025年8月に6年ぶりに「高血圧管理・治療ガイドライン」が改訂されました。今回の改訂では、これまで以上に厳格な血圧コントロールが求められることとなりました。
今回の改訂で最も大きな注目点は、これまで年齢や持病によって複雑に分かれていた血圧を下げる目標(降圧目標)が、すべての成人で統一されたことです。
年齢や合併症にかかわらず、すべての成人高血圧患者さんにおける主要な降圧目標が、
診察室血圧:130/80mmHg未満 家庭血圧:125/75mmHg未満となりました。
家庭での血圧は、リラックスした状態で測れるため、より正確に普段の血圧を反映するといわれています。今までは、持病や年齢によって多少緩やかだったり、厳格だったりというのがあったのですが、降圧目標がシンプルになった分、非常にわかりやすくなりました。
日本の高血圧患者は約4,300万人といわれています。放置しておくと動脈硬化が進行し、脳卒中・心臓病・腎臓病など重大な病気になる危険性が高まります。日本では血圧が良好にコントロールされているのはわずか27%程度と主要経済国のなかの最低レベルの血圧管理状況です。
一方、このように降圧目標が下がるたびに製薬会社の陰謀だと言われる人が必ずいます。この6年間にでた各種論文などの知見を丁寧に積み上げたエビデンスですので、この降圧目標は根拠のあるものです。
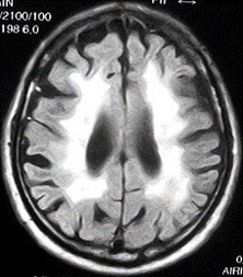
実際、外来でも依然と比較しますと脳血管性認知症の割合が極端に減ってきているのを感じます。また、認知症研究の第一人者でもある慶応大学メモリーセンター長
伊東大介教授は血圧コントロールが改善した結果、上のMRI検査のようなBinswangerタイプの脳血管性認知症を見ることがなくなったと話されています。加えて中~壮年期の脳出血患者が減っていることも体感しています。確実に血圧コントロールの厳格化が各種疾患に好影響を及ぼしている証と考えます。
池田脳神経外科 092-589-0150
池田脳神経外科ホームページ 池田脳神経外科フェイスブック YouTube
あやケアプランセンター 頭痛日記 認知症日記
コメント